Перейти к:
МАССИВНАЯ АБДОМИНОПЛЕВРАЛЬНАЯ ДИСЛОКАЦИЯ ОРГАНОВ ЧЕРЕЗ ПОВРЕЖДЕННУЮ ДИАФРАГМУ
Аннотация
Актуальность. Проблема посттравматических дефектов куполов диафрагмы и абдоминоторакального перемещения органов остается актуальной в связи с частотой сочетанных открытых и закрытых повреждений грудной клетки, поздней диагностикой и высокой латентностью при ущемлении и некрозе кишечных петель.
Цель публикации – продемонстрировать клиническое наблюдение посттравматической массивной абдоминоторакальной дислокации правой доли печени, тонкой и ободочной кишок, большого сальника в правый гемиторакс.
Клиническое наблюдение. Мужчина 63 лет поступил в клинику с подозрением на посттравматическую диафрагмальную грыжу справа. Пять лет назад пострадал в дорожно-транспортном происшествии с множественным переломами ребер. После физикального исследования и мультиспиральной компьютерной томографии диагноз подтвержден. Операция выполнялась абдоминальным и торакальным доступами.
Результаты. Послеоперационное течение без осложнений. Выписан с выздоровлением. Осмотрен через 6 месяцев. Жалоб не было. Физическая нагрузка в необходимом объеме. Дыхание в легких симметричное. На обзорной рентгенограмме грудной клетки переломы ребер консолидированы. Легкие без видимой патологии.
Заключение. По мере перемещения органов живота в правый гемиторакс появилась и прогрессировала клиника дыхательной недостаточности и диспепсии. Диагноз установлен сразу после обращения в клинику. Плановая операция оказалась успешной, предупредила ущемление внутренних органов.
Ключевые слова
Для цитирования:
Шевченко Д.А., Махутов В.Н., Ильичева Е.А., Гончиков Д.Д., Григорьев Е.Г. МАССИВНАЯ АБДОМИНОПЛЕВРАЛЬНАЯ ДИСЛОКАЦИЯ ОРГАНОВ ЧЕРЕЗ ПОВРЕЖДЕННУЮ ДИАФРАГМУ. Байкальский медицинский журнал. 2025;4(4).
For citation:
Shevchenko D., Makhutov V., Ilyicheva E., Gonchikov D., Grigoryev E. EXTENSIVE ABDOMINOPLEURAL ORGAN DISLOCATION VIA A DAMAGED DIAPHRAGM. Baikal Medical Journal. 2025;4(4).
Актуальность
Абдоминоплевральное перемещение органов через посттравматический дефект грудобрюшной преграды встречается в 2–7 % наблюдений, а посттравматическая диафрагмальная грыжа (есть грыжевой мешок) возникает не более чем в 1 % [1, 2, 3].
Патология, как правило, диагностируется в течение 2–4 лет после повреждения. Однако, описаны наблюдения хирургического лечения диафрагмальной грыжи через 22 и 62 года после ножевого ранения левой половины грудной клетки [4, 5].
В ранней посттравматической стадии в 33–66 % наблюдений разрыв диафрагмы клинически не диагностируют [6, 7]. В латентном периоде проявления дислокации органов живота обусловлены нарушением их функций (диспепсия, нарушение стула, боль в правом подреберье [8, 9], а также коллапсом долей легкого и смещением средостения, которые проявляются одышкой, сердцебиением, болями за грудиной [6]. Между тем, и в отдаленном посттравматическом периоде патология нередко диагностируется после появления осложнений.
Чаще разрывы локализуются в сухожильном центре или заднебоковом реберно-диафрагмальном синусе и могут сопровождаться разрывом перикарда в зоне фиксации его к диафрагме [10]. Повреждение правого купола встречается в 11–14 % наблюдений [3, 11].
Своевременная диагностика и хирургическое лечение предупреждают осложнения, прежде всего, ущемление дислоцированных органов. При их развитии послеоперационная летальность достигает 30–50 % [6, 11], по данным Чикинева Ю.В. – 16,7 % [12]. Доступ и объем операции выбираются индивидуально.
Клиническое наблюдение
Мужчина 63 лет обратился в приемный покой по поводу дискомфорта в правой половине грудной клетки и поясничной области, одышку в покое, усиливающуюся при физической нагрузке в течение 2–3 месяцев, нерегулярный стул. Пять лет назад в дорожно-транспортном происшествии получил множественный перелом ребер, ушиб брюшной стенки. Проходил стационарное лечение по месту жительства. После длительного консервативного лечения был выписан под наблюдение терапевта и хирурга.
Состояние удовлетворительное. Нормостеник. Рост 165 см, вес 63 кг, индекс массы тела 23,14 кг/м2. Частота дыхательных движений в покое 18 в минуту, при физической нагрузке – до 25 в минуту. Перкуторно звук слева ясный легочный, справа – притупление в нижних отделах. Аускультация: везикулярное дыхание слева, справа – ослабленное в нижних отделах, мелкопузырчатые хрипы, кишечные шумы. Частота сердечных сокращений 81 в минуту. Артериальное давление 161/84 мм рт. ст. Мультиспиральная компьютерная томография (МСКТ): кишечные петли, большой сальник (рис. 1) и печень (рис. 2) находились в правой плевральной полости; средостение смещено влево.

Рис. 1. МСКТ грудной клетки. Кишечные петли, большой сальник в правой плевральной полости.
Fig. 1. Chest CT image. Intestinal loops and omentum are in the right pleural cavity.

Рис. 2. МСКТ грудной клетки. Печень в правой плевральной полости. Смещение средостения влево
Fig. 2. Chest CT image. Liver is in the right pleural cavity. Mediastinum is dislocated to the left
Диагноз: посттравматический разрыв правого купола диафрагмы; абдоминоплевральная дислокация кишечника, печени, большого сальника; коллапс-ателектаз нижней и средней долей легкого; смещение средостения влево.
Операция выполнена в плановом порядке под общей комбинированной анестезией с интубацией трахеи и искусственной вентиляцией легких. Лапаротомия подреберным доступом справа: дефект правого купола диафрагмы от устья печеночных вен до заднего синуса. В плевральной полости бóльшая часть тонкой кишки (50–55 см от связки Трейца, 60–70 см от илеоцекального перехода), правая треть поперечной ободочной кишки (рис. 3) и правая доля печени с желчным пузырем.

Рис. 3. Интраоперационное фото после лапаротомии. В плевральной полости: тонкая кишка (1), поперечная ободочная кишка (2) видна через дефект диафрагмы (3)
Fig. 3. Intraoperative image after laparotomy. Pleural cavity: small intestine (1), transverse colon (2) is visible through the diaphragm defect (3)
Кишечник и большой сальник перемещены в брюшную полость. Низвести печень не представлялось возможным ввиду прочной фиксации рубцами к париетальной плевре. Выполнена тракционная торакотомия по 7-му межреберью. Печень мобилизована после рассечения сращений и низведена в брюшную полость (рис. 4).

Рис. 4. Интраоперационное фото после низведения печени в живот. Дефект диафрагмы отмечен пунктиром. 1 – сердце; 2 – большой сальник в брюшной полости; 3 – ателектазированная нижняя доля легкого.
Fig. 4. Intraoperative image after relocating the liver into the abdomen. Diaphragm defect is shown with dotted lines. 1 – heart; 2 –omentum in the abdominal cavity; 3 – atelectatic lower lobe of the lung.
Плевральная полость дренирована в 9-м межреберье по задней подмышечной линии. Рана грудной клетки ушита. Дефект в диафрагме (до 20 сантиметров) ушит со стороны живота отдельными узловыми швами (рис. 5).

Рис. 5. Интраоперационное фото. Дефект диафрагмы ушит отдельными лигатурами со стороны брюшной полости
Fig. 5. Intraoperative image. Diaphragmatic defect is sutured with separate ligatures from the side of the abdominal cavity
Подпеченочное пространство дренировано. Рана живота ушита (рис. 6).

Рис. 6. Интраоперационное фото. Кожные швы после торакотомии и лапаротомии.
Fig. 6. Intraoperative image. Skin sutures after thoracotomy and laparotomy.
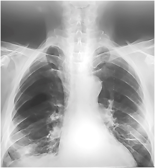
Послеоперационный период без осложнений. Наступила реаэрация правого легкого (рис. 7). Пациент выписан на 9-е сутки.

Рис. 7. Обзорная рентгенограмма грудной клетки в прямой проекции на 1-е сутки после операции.
Fig. 7. Chest X-ray (frontal projection) on the 1st postoperative day
Осмотрен через 6 месяцев. Жалоб не было. Дыхание в легких симметричное, без хрипов. Стул ежедневный. На обзорной рентгенограмме правое легкое воздушное, занимает весь гемиторакс (рис. 8).

Рис. 8. Обзорная рентгенограмма грудной клетки в прямой проекции через 6 месяцев после операции. Правое легкое полностью заполняет правый гемиторакс
Fig. 8. Chest X-ray (frontal projection) in 6 months after operation. The right lung completely fills the right hemithorax
Обсуждение
Грыжей называют «выхождение покрытых брюшиной внутренних органов через естественные или искусственные (возникшие после травмы, хирургических вмешательств) отверстия в брюшной стенке, тазового дна, диафрагмы под наружные покровы тела или в другую полость» [13].
Судя по публикациям, посттравматическая диафрагмальная грыжа встречается не часто, что очевидно связано с полнослойным (включая диафрагмальную брюшину и плевру) разрывом грудобрюшной преграды в большинстве случаев закрытого повреждения груди и живота. Поэтому при абдоминоторакальной дислокации, как правило, отсутствует грыжевой мешок. Эту патологию нередко обозначают как ложную диафрагмальную грыжу [14].
Диагностика повреждения диафрагмы в остром травматическом периоде затруднена прежде всего из-за полиморфизма клинических проявлений сочетанной травмы. Считается, что в латентной стадии посттравматической болезни установить диагноз диафрагмальной грыжи также непросто.
Между тем, характерные жалобы, абдоминоторакальная травма в анамнезе, физикальные признаки перемещения органов живота в плевральную полость позволяют обоснованно заподозрить диафрагмальную грыжу. Окончательный диагноз устанавливается после МСКТ груди и живота. Так и было в приведенном нами клиническом наблюдении.
Повреждение грудобрюшной преграды с последующим перемещением органов живота в один из гемитораксов – показание к хирургическому лечению в любом периоде болезни. Используются лапароторакоскопический доступ, лапаротомия, торакотомия и их сочетание.
Современный мировой тренд – малоинвазивные эндохирургические технологии в абдоминальной и торакальной хирургии, которые позволяют успешно выполнять видеоторакоскопические операции по поводу диафрагмальной грыжи не только в плановом порядке [5, 15], но и при ущемлении внутренних органов [16, 17].
Между тем, в значительной части публикаций по-прежнему предлагается выполнять абдоминальный или торакальный доступ или их сочетание, особенно при осложнениях диафрагмальной грыжи [7, 12, 18]. В нашем наблюдении после подреберной лапаротомии, которая обеспечила хорошую экспозицию, в живот перемещены кишечник и большой сальник. Правая доля печени, желчный пузырь плотными сращениями были фиксированы к заднему лоскуту диафрагмы и к париетальной плевре. Поэтому сделана торакотомия, которая обеспечила безопасный, малотравматичный висцеролиз под визуальным контролем. После этого коллабированные нижняя и средняя доли на фоне искусственной вентиляции восстановили воздушность и объем. Заживление швов первичным натяжением.
При больших дефектах, когда не исключается прорезывание наложенных лигатур, используется ненатяжная пластика диафрагмы или укрепление швов синтетическими материалами, например, полипропиленовой сеткой [19].
В нашем наблюдении несмотря на большой (20 см), но продольный разрыв, без натяжения наложен однорядный шов без признаков несостоятельности в раннем и отдаленном послеоперационном периодах.
Заключение
Торакоабдоминальная травма может сопровождаться разрывом диафрагмы. Если пострадавшему не проведена полостная операция, распознать ее повреждение трудно. В этих ситуациях показана МСКТ груди и живота. Необходимо ориентировать специалистов лучевой диагностики на тщательное исследование грудобрюшной преграды. При сомнении выполняют лапароскопию. Это возможно не во всех учреждениях, поэтому пострадавший должен находиться на диспансерном наблюдении.
Диагностика абдоминоплеврального сообщения в латентном периоде не трудна и основывается, как и вся клиническая медицина, на тщательном сборе анамнеза (закрытая торакоабдоминальная травма, ножевое ранение и т. д.), ослабление дыхания в нижних отделах гемиторакса, как правило, влажные хрипы (коллапс-ателектаз нижних сегментов легких), кишечные шумы. На обзорной рентгенограмме грудной клетки в двух проекциях с большой вероятностью будет установлена диафрагмальная грыжа. Наиболее информативна МСКТ. В плановом порядке возможно выполнение лапароскопической операции. При ущемлении внутренних органов универсальным доступом следует считать срединную лапаротомию, которая при необходимости дополняется торакотомией (выраженный рубцово-спаечный процесс в плевральной полости, затрудняющий низведение органов).
Список литературы
1. Filosso P.L., Guerrera F., Sandri A. et al. Surgical management of chronic diaphragmatic hernias. J Thorac Dis. 2019;11(Suppl 2):S177-S185. https://doi.org/10.21037/jtd.2019.01.54
2. El Bakouri A., El Karouachi A., Bouali M. et al. Post-traumatic diaphragmatic rupture with pericardial denudation: a case report. Int J Surg Case Rep. 2021;83:105970. https://doi.org/10.1016/j.ijscr.2021.105970
3. Faye P.M., Kengne U.I.M., Thiam O. et al. Post-traumatic diaphragmatic hernia presenting as bowel obstruction 12 years after a chest gunshot wound: a rare delayed diagnosis. Case Rep Surg. 2025;2025:2527619. https://doi.org/10.1155/cris/2527619
4. King B.W., Skedros J.G., Glasgow R.E., Morrell D.G. Resolution of chronic shoulder pain after repair of a posttraumatic diaphragmatic hernia: a 22-year delay in diagnosis and treatment. Case Rep Orthop. 2020;2020:7984936. https://doi.org/10.1155/2020/7984936
5. Топольницкий Е.Б., Шефер Н.А., Марченко Е.С., Михед Р.А. Видеоторакоскопическая коррекция посттравматической диафрагмальной грыжи через 62 года после ранения грудобрюшной преграды. Хирургия. Журнал им. Н.И. Пирогова. 2022;(2):62–66 [Topolnitskiy E.B, Shefer N.A., Marchenko E.S., Mikhed R.A. Thoracoscopic repair of posttraumatic phrenic hernia in 62 years after injury of the diaphragm. Pirogov Russian Journal of Surgery. 2022;(2):62–66 (In Russ.)]. https://doi.org/10.17116/hirurgia202202162
6. Jain N., Raju B.P., Dhanda S. et al. Delayed presentation of a post-traumatic large right diaphragmatic hernia displacing liver and gallbladder – A case report. Asian J Endosc Surg. 2022;15(2):388-392. https://doi.org/10.1111/ases.13015
7. Joudar I., Ziani H., Nasri S., Kamaoui I., Skiker I. Acute right heart failure revealing delayed traumatic right-sided diaphragmatic hernia: Case report and literature review. Radiol Case Rep. 2025;20(9):4586-4589. https://doi.org/10.1016/j.radcr.2025.05.005
8. Meyer P.H., Brody J., Khambaty F., Brody F. Laparoscopic repair of a right-sided diaphragmatic hernia: a technical report. J Laparoendosc Adv Surg Tech A. 2023;33(5):493-496. https://doi.org/10.1089/lap.2023.0092
9. Паршин В.Д., Черемисов В.В., Паршин А.В., Урсов М.А., Паршин В.В. Гигантская травматическая диафрагмальная грыжа как осложнение после лапароскопической операции на печени. Хирургия. Журнал им. Н.И. Пирогова. 2023;(12):110–117 [Parshin V.D., Cheremisov V.V., Parshin A.V., Ursov M.A., Parshin V.V. Giant traumatic diaphragmatic hernia as a complication after laparoscopic liver surgery. Pirogov Russian Journal of Surgery. 2023;(12):110–117 (In Russ.)]. https://doi.org/10.17116/hirurgia2023121110
10. Yamashita T., Asai K., Ochiai H. et al. Connected simultaneous rupture of the diaphragm and pericardium via congenitally fused site due to blunt trauma. Gen Thorac Cardiovasc Surg Cases. 2023;2(1):3. https://doi.org/10.1186/s44215-022-00018-x
11. Giuffrida M., Perrone G., Abu-Zidan F. et al. Management of complicated diaphragmatic hernia in the acute setting: a WSES position paper. World J Emerg Surg. 2023;18(1):43. https://doi.org/10.1186/s13017-023-00510-x
12. Чикинев Ю.В., Дробязгин Е.А. Посттравматические диафрагмальные грыжи (диагностика и лечение). Acta Biomedica Scientifica. 2017;6(118):163-166 [Chikinev Yu.V., Drobyazgin E.A. Posttraumatic diaphragmatic hernia (diagnostics and treatment). Acta Biomedica Scientifica. 2017;6(118):163-166 (In Russ.)]. https://doi.org/10.12737/article_5a0a8e9d1eae15.34300032
13. Грыжа пищеводного отверстия диафрагмы: клинические рекомендации. Министерство Здравоохранения Российской Федерации, Российское общество хирургов. 2024 [Hiatal hernia: clinical recommendations. Ministry of Health of the Russian Federation, Russian Society of Surgeons. 2024 (In Russ.)]. URL: https://cr.minzdrav.gov.ru/preview-cr/849_1 [дата доступа: 26.09.2025]
14. Богомолов Н.И., Кашафеева А.А. Особенности диагностики и лечения ложных посттравматических диафрагмальных грыж. Хирург. 2023;(3-4):6-15 [Bogomolov N.I., Kashafeeva A.A. Features of diagnosis and treatment of false post-traumatic diaphragmatic hernias. Surgeon. 2023;(3-4):6-15 (In Russ.)]. https://doi.org/10.33920/med-15-2302-01
15. Юров С.В., Черданцев Д.В., Дударев А.А. и др. Посттравматические диафрагмальные грыжи: сложности диагностики, лечения (клинические наблюдения). Врач. 2025;36(5):55–59 [Yurov S., Cherdantsev D., Dudarev A. et al. Post-traumatic diaphragmatic hernias: diagnostic difficulties, treatment (clinical observations). Vrach. 2025;36(5):55–59 (In Russ.)]. https://doi.org/10.29296/25877305-2025-05-10
16. Иванов Ю.В., Епифанцев Е.А., Лысенко А.О. и др. Особенности клинической картины, диагностики и лечения ущемленной посттравматической диафрагмальной грыжи (клинические наблюдения). Клиническая и экспериментальная хирургия. Журнал имени академика Б.В. Петровского. 2021;9(3):143-149 [Ivanov Yu.V., Epifantsev E.A., Lysenko A.O. et al. Characteristics of the clinical picture, diagnosis and treatment of strangulated post-traumatic diaphragmatic hernia (clinical observations). Clinical and Experimental Surgery. Petrovsky Journal. 2021;9(3):143–149 (In Russ.)]. https://doi.org/10.33029/2308-1198-2021-9-3-143-149
17. Guerci C., Kazemi Nava A., Goi G. et al. Post-traumatic diaphragmatic hernia: a rare case of intestinal obstruction. J Surg Case Rep. 2025;2025(3):rjaf163. https://doi.org/10.1093/jscr/rjaf163
18. Юров С., Серова Е., Винник Ю., Зима А. Диагностика и лечение посттравматических диафрагмальных грыж. Врач. 2018;29(7):48–50 [Yurov S., Serova E., Vinnik Yu., Zima A. Post-traumatic diaphragmatic hernias: diagnosis and treatment. Vrach. 2018; 29(7): 48–50 (In Russ.)]. https://doi.org/10.29296/25877305-2018-07-10
19. Van Pham N., Van Nguyen T., Van Mai D. et al. Reawakening of a dormant diaphragmatic hernia: a case of delayed post-traumatic presentation. J Surg Case Rep. 2025;2025(9):rjaf705. https://doi.org/10.1093/jscr/rjaf705
Об авторах
Денис Александрович ШевченкоРоссия
врач-хирург отделения торакальной хирургии
Валерий Николаевмч Махутов
Россия
к.м.н., заведующий отделением торакальной хирургии
Елена Алексеевна Ильичева
Россия
д.м.н., профессор, заведующая научно-клиническим отделом
Дамба Дамдинжапович Гончиков
Россия
врач-хирург отделения торакальной хирургии
Евгений Георгиевич Григорьев
Россия
д.м.н., профессор, заведующий кафедрой госпитальной хирургии
Дополнительные файлы
Рецензия
Для цитирования:
Шевченко Д.А., Махутов В.Н., Ильичева Е.А., Гончиков Д.Д., Григорьев Е.Г. МАССИВНАЯ АБДОМИНОПЛЕВРАЛЬНАЯ ДИСЛОКАЦИЯ ОРГАНОВ ЧЕРЕЗ ПОВРЕЖДЕННУЮ ДИАФРАГМУ. Байкальский медицинский журнал. 2025;4(4).
For citation:
Shevchenko D., Makhutov V., Ilyicheva E., Gonchikov D., Grigoryev E. EXTENSIVE ABDOMINOPLEURAL ORGAN DISLOCATION VIA A DAMAGED DIAPHRAGM. Baikal Medical Journal. 2025;4(4).












