Перейти к:
НЕТИПИЧНАЯ ДЕФОРМАЦИЯ ПАЛЬЦЕВ СТОПЫ
https://doi.org/10.57256/2949-0715-2026-5-1-88-94
Аннотация
Актуальность. Встречаются случаи, когда редкая костная деформация не вписывается ни в один известный алгоритм и требует персонифицированного подхода, ставя перед клиницистом нетривиальную задачу поиска нестандартного решения. К таким случаям относится нетипичная идиопатическая деформация пальцев стопы, которая проявляется варусно-молоткообразной установкой первого, второго, третьего пальцев и когтеобразной формой четвертого пальца.
Клиническое наблюдение. В статье представлен клинический случай успешного хирургического лечения пациентки с нетипичным сочетанием деформаций пальцев стопы, проявляющимся варусно-молоткообразной установкой первого, второго, третьего пальцев и когтеобразной формой четвертого пальца. Для коррекции каждого вида деформации пальцев были использованы современные хирургические методы, в том числе авторские, включающие выполнение корригирующих остеотомий плюсневых костей, фаланг пальцев, артродезов суставов. Полученный эстетический и функциональный результат продемонстрировал высокую эффективность проведенного лечения.
Заключение. Применение и правильный выбор современных хирургических техник дает возможность добиться хорошего результата, даже в нестандартных клинических случаях.
Ключевые слова
Для цитирования:
Усольцев И.В., Леонова С.Н. НЕТИПИЧНАЯ ДЕФОРМАЦИЯ ПАЛЬЦЕВ СТОПЫ. Байкальский медицинский журнал. 2026;5(1):88-94. https://doi.org/10.57256/2949-0715-2026-5-1-88-94
For citation:
Usoltsev I., Leonova S. ATYPICAL DEFORMITY OF THE TOES. Baikal Medical Journal. 2026;5(1):88-94. (In Russ.) https://doi.org/10.57256/2949-0715-2026-5-1-88-94
Актуальность
Анализ хирургических методов лечения статических деформаций переднего отдела стопы выявляет многообразие этих деформаций и недостаток унифицированного подхода к их классификации [1]. Исторически сложилось, что все виды деформации пальцев стопы принято делить на деформации первого пальца (чаще hallux valgus) и деформации малых пальцев (чаще молоткообразный палец) [2,3].
Hallux valgus зачастую сочетается с молоткообразной деформацией малых пальцев с частотой, которая может достигать 64,3 % случаев [4]. Кроме того, деформация первого пальца может проявляться варусным отклонением (hallux varus) что, в основном, является ятрогенным осложнением после оперативного устранения hallux valgus и выполнения чрезмерной коррекции. Частота ятрогенного hallux varus составляет от 1 % до 17 % [5,6,7,8]. Другие же виды hallux varus, такие как посттравматическая, воспалительная, врождённая или идиопатическая, отмечаются крайне редко [9,10,11].
Для большинства деформаций разработаны и успешно используются хирургические алгоритмы принятия решения в зависимости от вида патологии и степени выраженности проблемы [12]. Однако, до сих пор встречаются случаи, когда редкая деформация не вписывается ни в один известный алгоритм и требует персонифицированного подхода, ставя перед клиницистом задачу поиска нестандартного решения. К таким случаям относится нетипичная идиопатическая деформация пальцев стопы, которая проявляется варусно-молоткообразной установкой первого, второго, третьего пальцев и когтеобразной формой четвертого пальца.
Цель исследования
Продемонстрировать результат хирургического лечения нетипичной идиопатической деформации пальцев стопы с применением современных оперативных подходов.
Клиническое наблюдение
Пациентка Т., 68 лет. Поступила в клинику Иркутского научного центра хирургии и травматологии на оперативное лечение с диагнозом: Левостороннее поперечно-продольное плоскостопие, идиопатическая варусно-молоткообразная деформация I-III пальца, когтеобразная деформация IV пальца левой стопы; комбинированная контрактура I плюсне-фалангового сустава. Болевой синдром. Пациентка подписала информированное согласие и разрешение на использование данных для научных исследований.
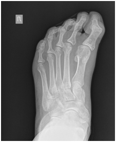
На момент госпитализации пациентку беспокоил болевой синдром при ношении любой обуви, а также неэстетический внешний вид левой стопы. Из анамнеза, пациентка считает себя больной с юности, когда впервые обратила внимание на отклонение I пальца кнутри. Со временем, II и III палец вслед за I начали отклоняться внутрь, а затем все три пальца приобрели молоткообразную установку, IV палец принял когтеобразную форму. У пациентки не было отмечено травм и заболеваний, которые могли спровоцировать развитие данной деформации (рис.1).
Клинически было отмечено, что деформация I и IV пальцев была фиксированная и не устранялась при попытке разогнуть эти пальцы в межфаланговом суставе, имелись болезненные омозолелости на контактной поверхности пальцев. Деформация II и III пальца была мобильной. Эластичность стопы соответствовала 2 типу (рис.1, рис.2).

а б
Рис.1. Внешний вид левой стопы до операции: а – вид сверху, б – вид спереди
Fig.1. Тhe appearance of left foot before surgery: a – top view, b – front view

Рис. 2. Рентгенограмма левой стопы до операции (прямая проекция)
Fig. 2. Radiograph of the leftt foot before surgery (AP radiograph)
В ноябре 2024 года выполнена операция – реконструкция переднего отдела стопы в объеме: корригирующая медиализирующая остеотомия I плюсневой кости, фиксация винтом; корригирующая открытоугольная остеотомия основной фаланги I пальца с костной пластикой, фиксация винтом; корригирующий артродез межфалангового сустава I пальца, фиксация винтом; корригирующая остеотомия II-III плюсневой кости, фиксация винтом; корригирующий артродез дистального межфалангового сустава IV пальца, фиксация спицей (рис.3, рис.4).

Рис. 3. Внешний вид левой стопы после операции
Fig. 3. Тhe appearance of left foot after surgery

Рис. 4. Рентгенограмма левой стопы после операции (прямая проекция)
Fig. 4. Radiograph of the left foot after surgery (AP radiograph)
Согласно действующему в клинике протоколу послеоперационного ведения пациентов с аналогичными хирургическими вмешательствами, был реализован комплекс мер, включающий 6-недельную иммобилизацию оперированной стопы в ортопедическом ботинке, обеспечивающего разгрузку переднего отдела. В ходе стационарного лечения проводился динамический мониторинг клинического статуса пациентки и ключевых клинико-лабораторных параметров, в результате которого не было выявлено каких-либо отклонений от референтных значений, что позволило перевести пациентку на амбулаторный этап ведения. На 14-ые сутки после операции выполнено снятие швов. Последующая контрольная рентгенография через 6 недель не выявила патологических изменений, иммобилизация послеоперационной обувью была прекращена и рекомендовано поэтапное увеличение двигательной активности с контролируемой осевой нагрузкой. В рамках комплексной реабилитации были предписаны курсовые физиопроцедуры и сеансы лимфодренажного массажа. В результате проведённых мероприятий удалось добиться полного купирования послеоперационного отёка и восстановления функциональной опороспособности стопы, что обеспечило возможность возвращения пациентки к привычному ритму двигательной активности без каких-либо ограничений (рис. 5, рис. 6).

а б
Рис. 5. Внешний вид левой стопы через один год после операции: а – вид сверху, б – вид спереди
Fig.5. Тhe appearance of left foot 1 year after surgery: a – top view, b – front view

Рис.6 Рентгенограмма левой стопы через один год после операции (прямая проекция)
Fig.6 Radiograph of the left foot 1 year after surgery (AP radiograph)
Полученный эстетический эффект, отсутствие болевого синдрома, возможность ношения обуви, возвращение пациентки к активному образу жизни стало долгожданным результатом проведенного лечения.
Обсуждение
Представленную статическую патологию стопы можно отнести к редким, поскольку развитие идиопатической варусно-молоткообразной деформации является абсолютно нехарактерным для первого пальца, и ее сочетание с варусно-молоткообразным вторым и третьим пальцем, с когтеобразным четвертым пальцем определяет нетипичность случая. Чаще наблюдается развитие hallux valgus, вследствии которого формируется молоткообразный второй, третий или четвертый палец, нередко с варусным или вальгусным отклонением [13,14].
В данном случае, комбинация нескольких разновидностей деформаций пальцев обусловила выбор разных оперативных подходов.
Так, для устранения варусного отклонения первого пальца была использована диафизарная остеотомия первой плюсневой кости по технологии Иркутского научного центра хирургии и травматологии, разработанной для коррекции hallux valgus с фиксацией одним винтом [15]. Отличие ее заключалось в выполнении пропилов на подошвенном фрагменте кости не с медиальной, а с латеральной стороны, чтобы сместить его с головкой плюсневой кости медиально, тем самым латерально отклонить и выпрямить первый палец в плюсне-фаланговом суставе.
Для коррекции остаточного варусного отклонения первого пальца была выбрана корригирующая открытоугольная остеотомия основной фаланги с заполнением зоны остеотомии фрагментами резецированной кости и остеосинтезом канюлированным винтом.
Исправить молоткообразную установку первого пальца позволило проведение корригирующего артродеза межфалангового сустава, что было обоснованным решением в связи с нахождением дистальной фаланги пальца в фиксированном сгибательном положении и под углом к проксимальной фаланге.
Следует отметить, что все перечисленные манипуляции был выполнены из единого доступа по внутренней поверхности стопы для уменьшения хирургической агрессии.
Для достижения коррекции варусно-молоткообразной позиции второго и третьего пальцев применили модификацию дистальной остеотомии по Weil второй и третьей плюсневой кости с перемещением их головок медиально в плоскости остеотомии, остеосинтезом канюлированными винтами [16].
Вмешательство на четвертом пальце в объеме корригирующего артродеза дистального межфалангового сустава с фиксацией спицей, при котором резекция основания дистальной фаланги производилась под углом к ее оси, позволило исправить когтеобразную деформацию.
Нетипичная многокомпонентная деформация стопы у данной пациентки побудила нас к поиску оптимальной комбинации известных хирургических методов, в том числе авторских. Адресное применение этих методов позволило нам исправить деформацию переднего отдела стопы и продемонстрировать их высокую эффективность.
Заключение
Нетипичная идиопатическая патология стопы, включающая варусно-молоткообразную деформацию первого, второго, третьего пальцев и когтеобразную деформацию четвертого пальца, является редким видом статических деформаций. Применение и правильный выбор современных хирургических техник дает возможность добиться хорошего результата, даже в нестандартных клинических случаях.
Список литературы
1. Беленький И.Г., Сергеев Г.Д., Олейник А.В., Майоров Б.А. Современные взгляды на хирургическое лечение hallux valgus. Современные проблемы науки и образования. 2021;(6) [Belenkiy I.G., Sergeev G.D., Oleynik A.V., Mayorov B.A. Modern views on the surgical treatment of hallux valgus. Modern problems of science and education. 2021;(6) (In Russ.)]. https://doi.org/10.17513/spno.31199
2. Хайрутдинов Р. Ф., Минасов Т. Б., Нигамедзянов И. Э., Якупова Е. Р., Мухаметзянова Э. И. Взаимосвязь рентгенологических и функциональных результатов хирургического лечения вальгусной деформации первого пальца стопы. Вестник Ивановской медицинской академии. 2021;26(2):13-16 [Khayrutdinov R.F., Мinasov Т.B., Nigamedzyanov I.E., Yakupova Е. R., Мukhametzyanova E. I. Interrelation of roentgenological and functional results of surgical treatment for hallux valgus. Bulletin of the Ivanovo Medical Academy 2021;26(2):13-16 (In Russ.)]. https://doi.org/10.52246/1606-8157_2021_26_2_13
3. Шубкина А.А., Лычагин А.В., Бобров Д.С., Слиняков Л.Ю., Терновой К.С. Минимально инвазивная техника против открытой хирургии при молоткообразной деформации второго пальца: сравнение результатов. Гений ортопедии. 2022;28(4):507-515 [Shubkina A., Lychagin A., Bobrov D., Sliniakov L., Ternovoi K. Minimally invasive correction versus open surgery for contractured second toe: comparing results. Genij Ortopedii. 2022;28(4):507-515 (In Russ.)]. https://doi.org/10.18019/1028-4427-2022-28-4-507-515
4. Косарева М.А., Леонова С.Н. Проблемы хирургического лечения молоткообразной деформации пальцев стопы (обзор литературы). Acta Biomedica Scientifica. 2020;5(6):235-242 [Kosareva M.A., Leonova S.N. Problems of Surgical Treatment of Hammer Toes (Review of Literature). Acta Biomedica Scientifica. 2020;5(6):235-242 (In Russ.)]. https://doi.org/10.29413/ABS.2020-5.6.30
5. Aiyer A., Juliano P. Tendon transfers for hallux varus Tech Foot Ankle Surg. 2013;12(1):16–24. https://doi.org/10.1097/BTF.0b013e318282eda8
6. Choi K.J., Lee H.S., Yoon Y.S. et al. Distal metatarsal osteotomy for hallux varus following surgery for hallux valgus. J Bone Joint Surg Br. 2011;93(8):1079-1083. https://doi.org/10.1302/0301-620X.93B8.26430
7. Richardson EG. Disorders of the hallux. Campbell’s operative Orthopaedics. 12th edition. Philadelphia:Mosby;2013:3878–3890.
8. Бережной С.Ю. Ятрогенный hallux varus: причины формирования деформации, возможности чрескожной хирургической коррекции (ретроспективный анализ серии клинических наблюдений). Травматология и ортопедия России 2017;23(4):48-57 [Berezhnoy S.Y. Iatrogenic hallux varus: causes of deformity and possibilities of percutaneous surgical correction (retrospective analysis of case reports). Traumatology and Orthopedics of Russia 2017;23(4):48-57 (In Russ.)]. https://doi.org/10.21823/2311-2905-2017-23-4-48-57
9. Mohan R., Dhotare S.V., Morgan S.S. Hallux varus: A literature review. Foot (Edinb). 2021;49:101863. https://doi.org/10.1016/j.foot.2021.101863
10. Prajakta Aloorkar, Gayathri Vemavarapu, Venkatram T., Shantisree R. Congenital Hallux Varus: A Rare Prenatal Detection and Postnatal Management. Journal of Fetal Medicine. 2024;11(01):076-080. https://doi.org/10.1055/s-0044-1779435
11. Izturov B.Z., Abilmazhinov M.T., Tsoi O.G. Acquired Hallux Varus. Etiology, Pathology, Classification, and Treatment Algorithm. Literature Review. Arch Razi Inst. 2022;77(6):2037-2048. https://doi.org/10.22092/ARI.2022.360055.2537
12. Карданов А.А. Хирургическая коррекция деформаций стопы. Москва: Медпрактика-М;2016:220 [Kardanov A.А. Hirurgicheskaya korrekciya deformacij stopy [Surgical correction of foot deformities]. Moskva:Medpraktika-M [Moscow: Medpraktika-M];2016;220 (In Russ.)].
13. Черевцов В.Н., Блаженко А.Н., Богданов С.Б., Киреев В.С., Горохов А.В. Сравнительный анализ результатов лечения различными методами многоплоскостной статической деформации передних отделов стопы, сопровождающейся неригидной молоткообразной деформацией второго пальца. Гений ортопедии. 2022;28(3):361-366 [Cherevcov V., Blazhenko A., Bogdanov S. et al. Comparative analysis of outcomes of multiplanar static forefoot deformity accompanied by flexible second mallet toe deformity treated with various techniques. Genij Ortopedii. 2022;28(3):361-366 (In Russ.)]. https://doi.org/10.18019/1028-4427-2022-28-3-361-366
14. Гуди С., Епишин В., Пахомов И. и др. Пластика медиального капсулолигаментарного комплекса второго плюснефалангового сустава при лечении статических деформаций стопы. Гений ортопедии. 2019;25(4):468-473 [Gudy S., Epishin V., Pakhomov I. et al. Medial capsulo-ligamentous complex plasty of the second metatarsophalangeal joint in the treatment of static foot deformities. Genij Ortopedii. 2019;25(4):468-473 (In Russ.)]. https://doi.org/10.18019/1028-4427-2019-25-4-468-473
15. Леонова С.Н., Усольцев И.В. Способ оперативного лечения вальгусного отклонения первого пальца стопы: медицинская технология. Иркутск: ИНЦХТ; 2016:20 [Leonova S.N., Usoltsev I.V. Method of surgical treatment of hallux valgus: medical technology. Irkutsk: INTSKHT;2016:20 (In Russ.)].
16. Леонова С.Н., Усольцев И.В., Косарева М.А., Васильев В.Ю. Применение расчетов в реконструктивной хирургии статической деформации переднего отдела стопы (клинический случай). Вестник современной клинической медицины. 2024;17(6):105–111 [Leonova S.N., Usoltsev I.V., Kosareva M.A., Vasilev V.Y. Using calculations in the reconstructive surgery of static forefoot deformity (case report). The Bulletin of Contemporary Clinical Medicine. 2024;17(6):105-111 (In Russ.)]. https://doi.org/10.20969/VSKM.2024.17(6).105-111
Об авторах
Иван Владимирович УсольцевРоссия
к.м.н., научный сотрудник научно-клинического отдела травматологии
Светлана Николаевна Леонова
Россия
д.м.н., ведущий научный сотрудник научно-клинического отдела травматологии
Рецензия
Для цитирования:
Усольцев И.В., Леонова С.Н. НЕТИПИЧНАЯ ДЕФОРМАЦИЯ ПАЛЬЦЕВ СТОПЫ. Байкальский медицинский журнал. 2026;5(1):88-94. https://doi.org/10.57256/2949-0715-2026-5-1-88-94
For citation:
Usoltsev I., Leonova S. ATYPICAL DEFORMITY OF THE TOES. Baikal Medical Journal. 2026;5(1):88-94. (In Russ.) https://doi.org/10.57256/2949-0715-2026-5-1-88-94
JATS XML








